What does Invisalign treatment include?
Our Invisalign treatment is fully inclusive and has no hidden fees. Be confident in your Invisalign treatment with our experienced Invisalign clinicians. ...

Our Invisalign treatment is fully inclusive and has no hidden fees. Be confident in your Invisalign treatment with our experienced Invisalign clinicians. ...
Brushing your teeth too hard and using a hard bristled toothbrush can lead to a number of dental problems such as, enamel wear, gum recession and tooth sensitivity....
Overcome dental fear with a dental team you trust; it's important to us to understand and be sensitive to your needs. We're experienced in treating patients with dental anxiety and have many options available to help you overcome your dental fear....
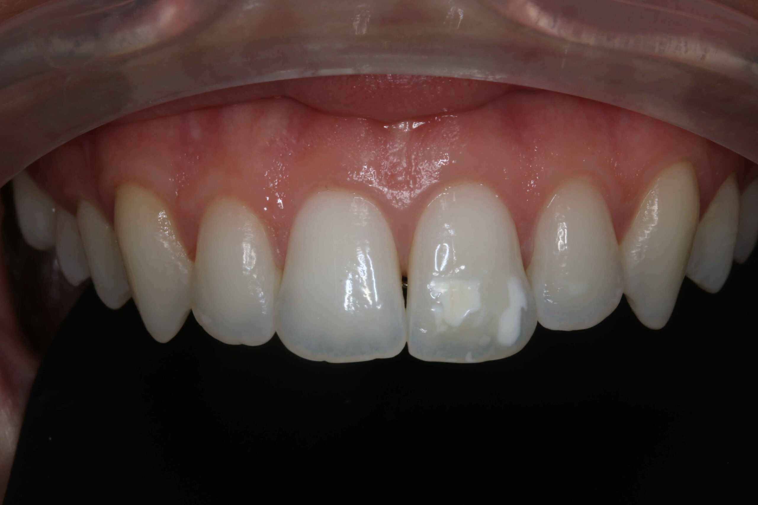
aAsafe, effective, and minimally invasive treatment to remove white spot lesions on teeth....
Investing in preventive dental care might seem like an additional expense, but in the long run, it can actually save you a significant amount of money....
The pros and cons of types of composite bonding; Myth-busting for patients - 5 Honest Reasons they may or may not be a good idea!...
Periodontal disease or Gum Disease, as it is most commonly known, refers to the oral health conditions which cause inflammation of the tissues surrounding your teeth. In its early stage gum disease is called gingivitis, while in its more developed and serious stage it is...
The answer to this question isn’t as simple as a yes or no. It depends on what type of discoloration your teeth have and what you hope to achieve. Let's take a look in a little more detail...
Does my child need a brace? What is early intervention orthodontics? And, how do we see a specialist orthodontist?...