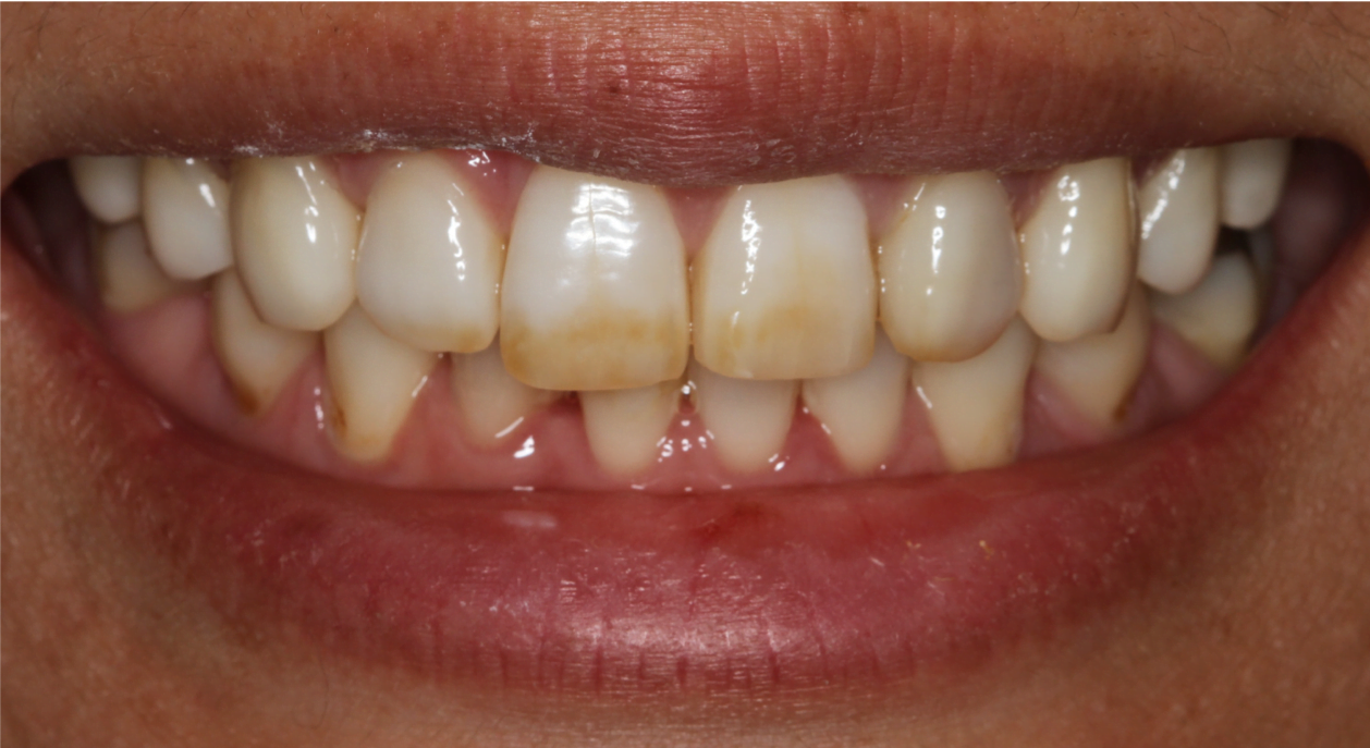
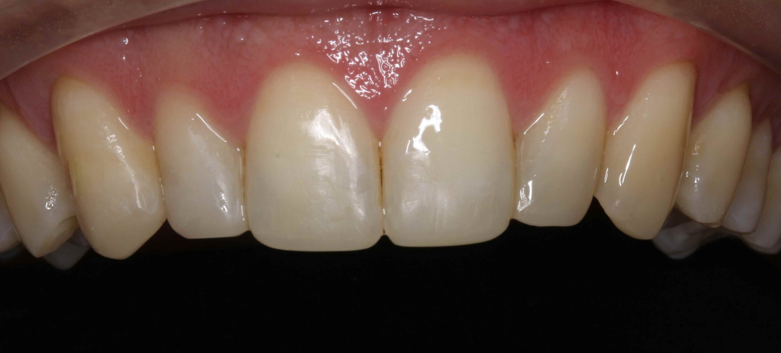
Custom At-home whitening followed by new porcelain veneers on upper left and right central incisors
Cosmetic Dentistry, Multidisciplinary, Teeth Whitening
Direct composite bonding An enormous enamel fracture as a result of tripping and falling into a brick wall. Dr Peta Leigh was able to immediately repair this child’s fractured right central incisor using direct composite bondings. Aside from occasionally needing a polish and needing to...
Cosmetic Dentistry
Dr Jill Daus and Dr Peta Leigh worked together to provide this patient with a combination of specialist treatments to makeover his smile. First his tooth alignment was corrected with hidden lingual braces, followed by at-home tooth whitening and direct composite bondings to even the...
Cosmetic Dentistry, Multidisciplinary, Orthodontics, Teeth Whitening
This patient came to us wishing to improve, but keep “her smile”. A single veneer change on her upper central incisor has transformed her smile, sometimes simplicity is key.
Cosmetic Dentistry
White spot leisons can often complicate teeth whitening treatments. With a combination of treatments Dr Peta Leigh was able to even the appearance of this patient’s enamel and whiten to an even B1 shade.
Cosmetic Dentistry, Teeth Whitening
We’re extremely proud of this joint case. This smile makeover was an absolute pleasure and Dr Peta Leigh and Dr Jill Daus worked closely to coordinate the treatment plan to give their patient an ideal result. When she attended her initial consultation she told us...
Cosmetic Dentistry, Multidisciplinary, Orthodontics, Teeth Whitening
Direct composite bondings on the upper front six teeth (canine to canine) by Dr Farnoosh Mimeh. Improving the spacing, alignment and overall shape of this smile – whilst remaining natural.
Cosmetic Dentistry
In just one appointment composite bondings were placed on the canine teeth. The bondings were artfully covered, shaped, filed and polished to be transformed into laterals.
Cosmetic Dentistry
A close up view of two composite restorations (freehand) by Dr Farnoosh Mimeh. The restorations replaced the patient’s worn enamel to create a natural result with minimal preparation, in-line with our practice core values.
Cosmetic Dentistry
Dr Peta Leigh created a tailored tooth whitening protocol to provide outstanding, even whitening results for this patient’s wedding smile! She is thrilled with the result (and, so are we!)
Cosmetic Dentistry, Teeth Whitening
A close up view of 6 anterior composite restorations (freehand) by Dr Farnoosh Mimeh The restorations replaced the patient’s worn enamel to create a natural result with minimal preparation, in-line with our practice core values.
Cosmetic Dentistry
Another incredible before and after from Dr Farnoosh Mimeh, this time on an 11 year old’s discoloured smile. She was starting to get comments on about the brown spots on her teeth so wanted a lasting treatment to improve their appearance and restore her confidence....
Cosmetic Dentistry
Our lovely patient Vivian attended to see Dr Peta Leigh because she had always been unhappy with her natural tooth discolouration and the crown on her upper left tooth wasn’t an ideal colour match. She had been wanting to do something for years but worried...
Cosmetic Dentistry
This patient attended for a smile makeover with Dr Farnoosh Mimeh. He had peg shaped laterals that were built up with composite bonding many years ago. He wanted them freshened up and lightened. Patient was given whitening treatment which was very successful and the improvement...
Cosmetic Dentistry, Teeth Whitening
This patient, in her 20’s, came to us wanting to improve the appearance of her glabella lines (frown lines). These are the vertical creases that appear between the eyebrows, generating a tired or angry look. Dr Farnoosh Mimeh administered the anti-wrinkle injections to subtly smooth these frown...
Facial Aesthetics
This 20-something patient wanted to reduce the appearance of her Forehead Wrinkles for a smoother, rejuvenated appearance. Dr Farnoosh Mimeh administered Botox injections to her forehead to smooth the horizontal lines. The injections work by relaxing the muscles that cause these wrinkles to form.
Facial Aesthetics
This patient has had Invisalign Aligner Treatment with Dr Jill Daus our Specialist Orthodontist followed by tooth bleaching and composite bonding.
Cosmetic Dentistry, Multidisciplinary, Orthodontics, Teeth Whitening
A patient with no symptoms was found to have a large amount of decay in two teeth upon clinical and radiographic examination, necessitating a composite (white) fillings. To ensure all decay was thoroughly removed, a caries dye was applied to highlight any hidden areas of...
This website uses cookies to improve your experience. We'll assume you're ok with this, but you can opt-out if you wish. Cookie settingsACCEPT
Privacy & Cookies Policy
Privacy Overview
This website uses cookies to improve your experience while you navigate through the website. Out of these cookies, the cookies that are categorized as necessary are stored on your browser as they are essential for the working of basic functionalities of the website. We also use third-party cookies that help us analyze and understand how you use this website. These cookies will be stored in your browser only with your consent. You also have the option to opt-out of these cookies. But opting out of some of these cookies may have an effect on your browsing experience.
Necessary cookies are absolutely essential for the website to function properly. This category only includes cookies that ensures basic functionalities and security features of the website. These cookies do not store any personal information.