Teeth Whitening & Composite Bonding

Teeth Whitening & Composite Bonding
Category
Cosmetic Dentistry, Teeth Whitening
About This Project
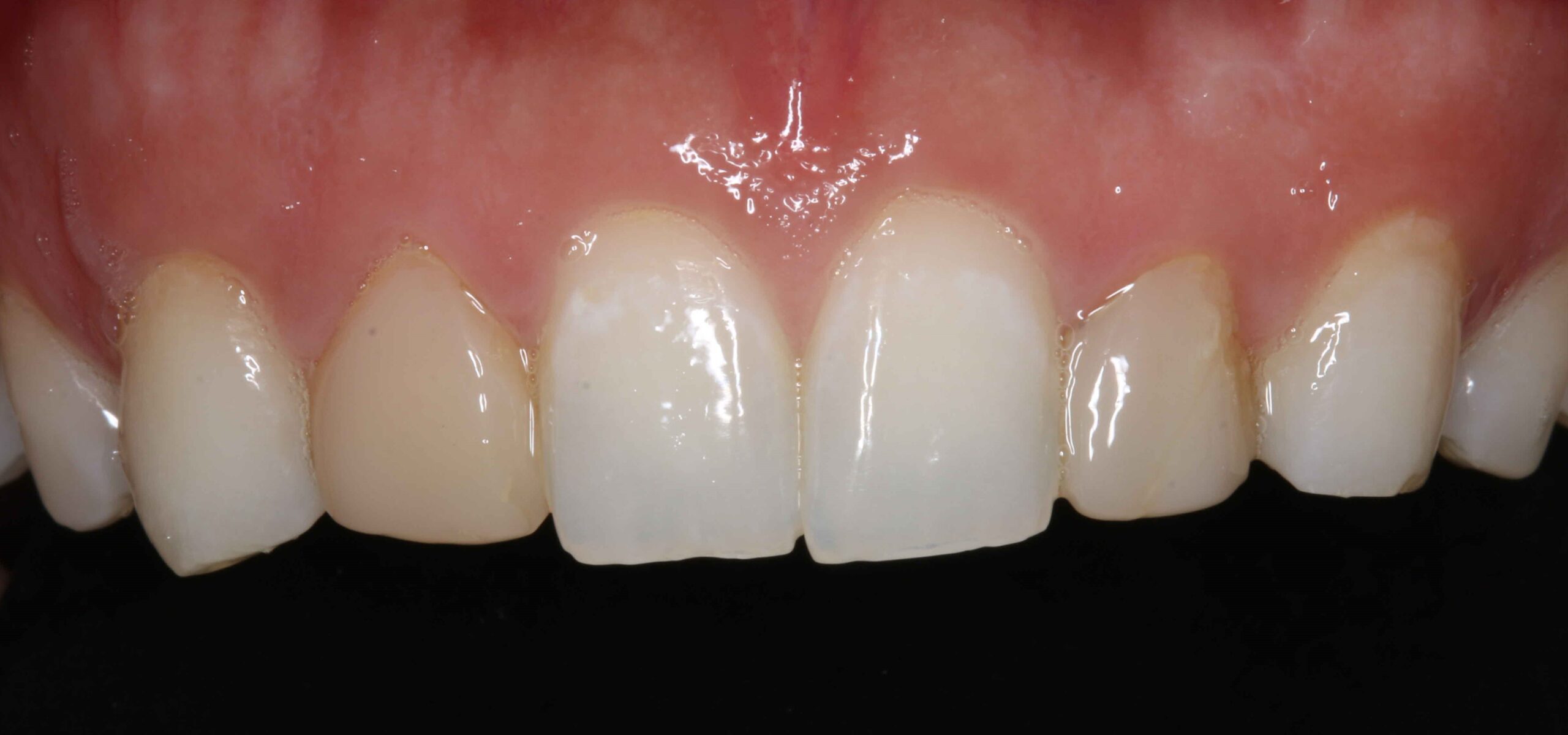
This patient attended for a smile makeover with Dr Farnoosh Mimeh. He had peg shaped laterals that were built up with composite bonding many years ago. He wanted them freshened up and lightened.
Patient was given whitening treatment which was very successful and the improvement in the shade can be seen in the photo where his old bondings are still in place.
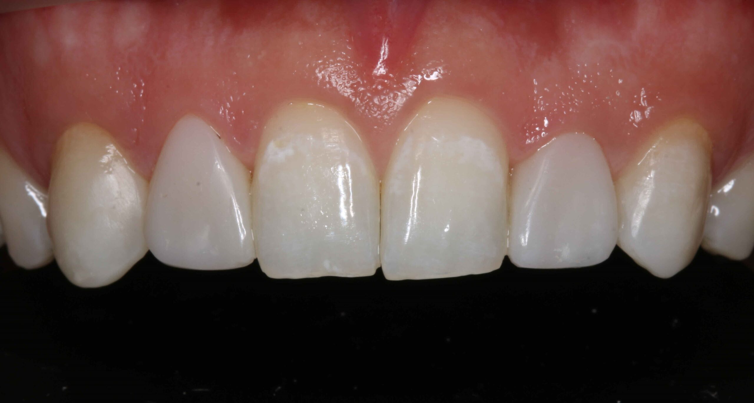
Dr Farnoosh then removed his old composite and built them up again in a lighter colour. He also had some bonding on his canine teeth to improve his bite and restore the worn enamel on these teeth.