

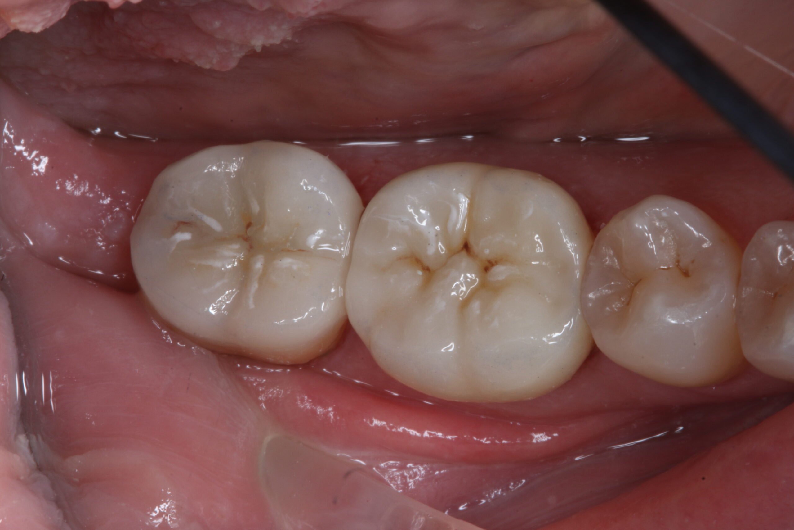
This patient attended with existing restorations in their lower molar teeth. The fillings were compromised and failing and the cusp of the last molar tooth had fractured off. The restorations were too large to predictably restore with direct composite build ups. Therefore, Dr Farnoosh Mimeh expertly prepared the teeth to accommodate an Emax onlay, alongside an Emax crown, providing both aesthetic and functional enhancements. The result? Comprehensive protection against future fractures and potential tooth loss.