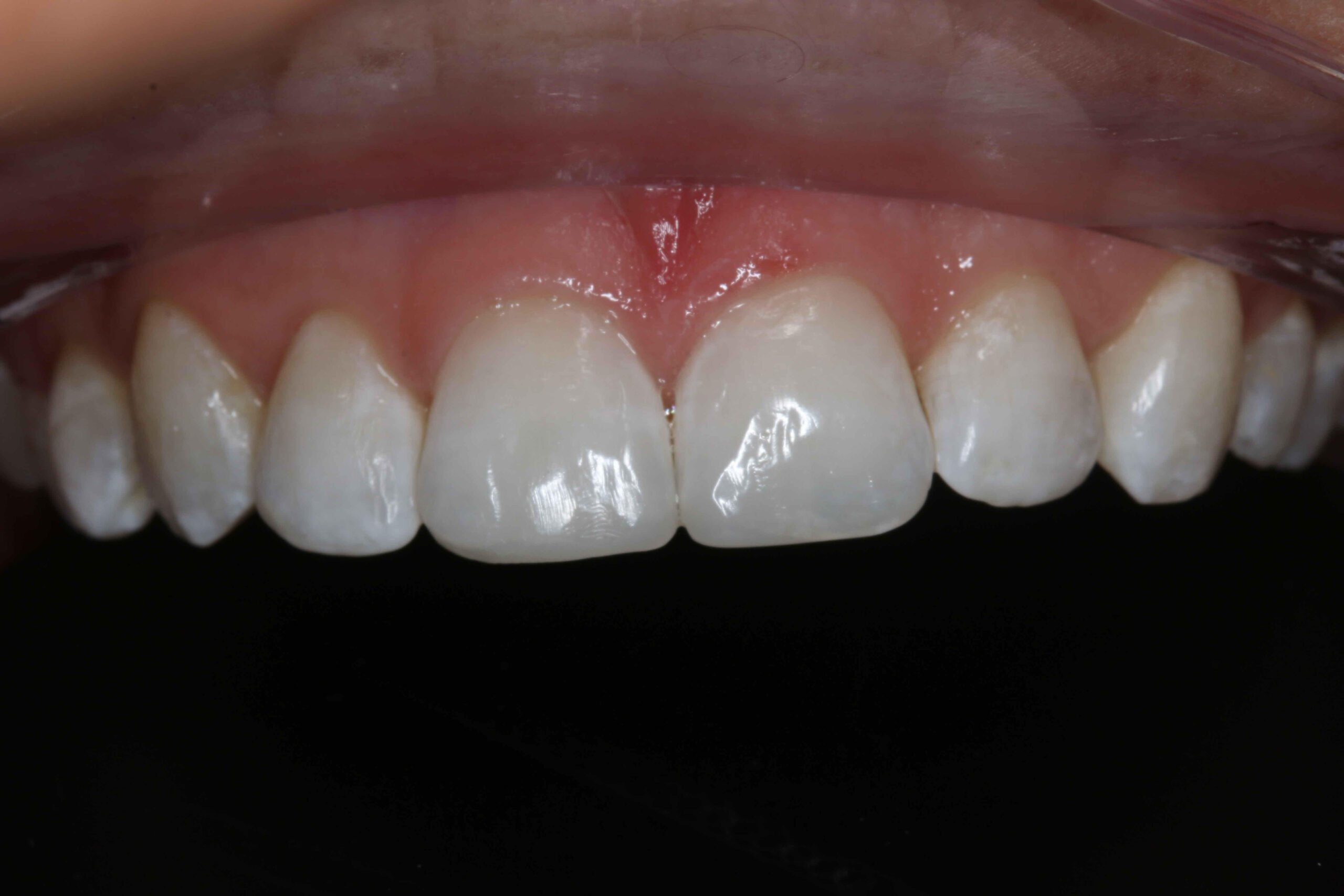
This patient has had Invisalign Aligner Treatment with Dr Jill Daus our Specialist Orthodontist. Once they were happy with the alignment the attachments were debonded and Dr Farnoosh Mimeh provided polanight whitening and composite bonding of her upper centrals to treat the worn and chipped incisal enamel. Dr Mimeh expertly corrected the proportions of the incisors for a better harmony as well as smooth the roughness on the enamel surface.

