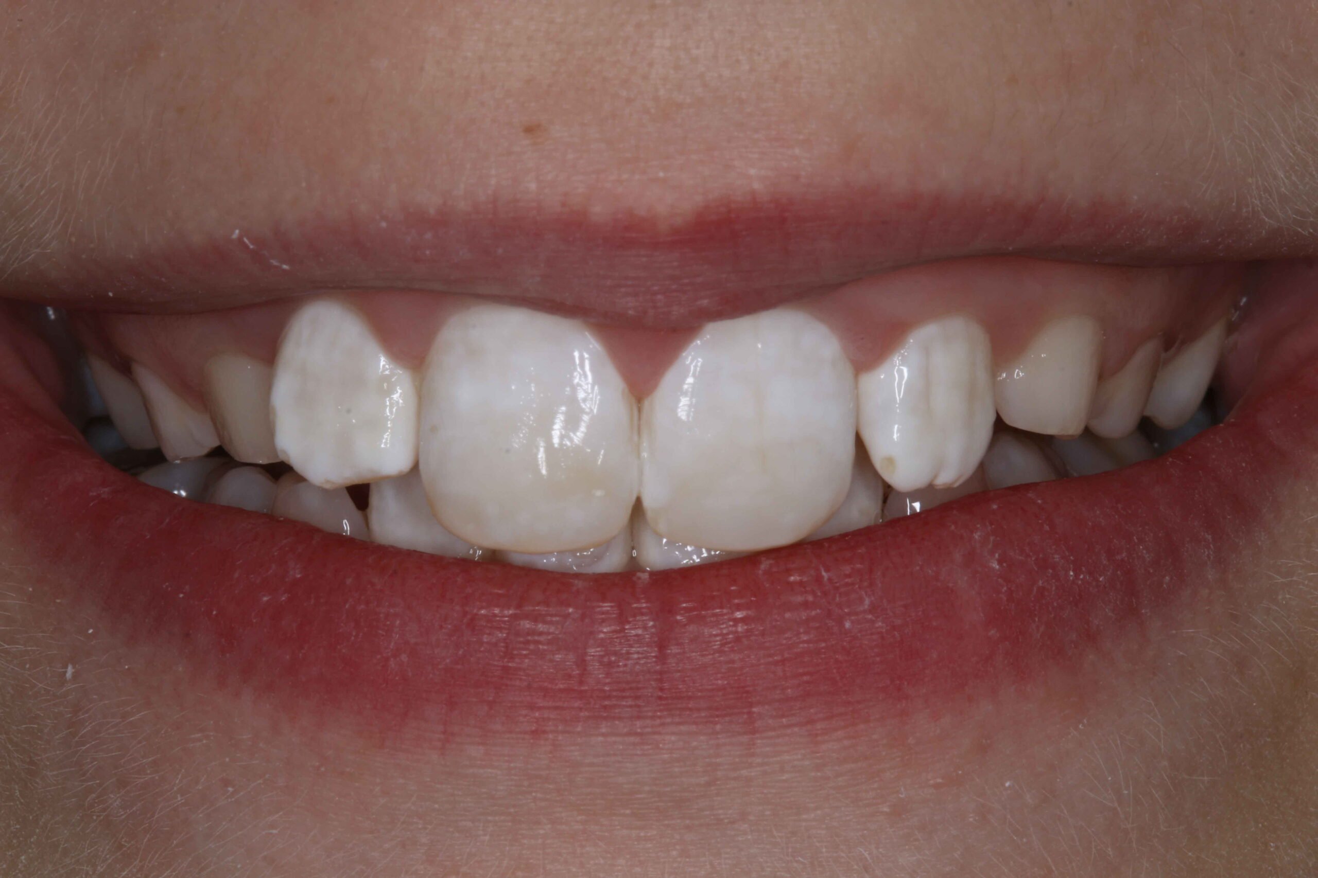
Another incredible before and after from Dr Farnoosh Mimeh, this time on an 11 year old’s discoloured smile. She was starting to get comments on about the brown spots on her teeth so wanted a lasting treatment to improve their appearance and restore her confidence. After consideration, Dr Mimeh felt that Icon treatment was not the best option, so carried out very minimal preparations and covered the brown spots with composite.
She carefully and artistically added white spots to her composites to give the effect of fluorosis, to blend with the patient’s other anterior teeth. She had the BIGGEST smile after treatment! She was thrilled with the natural result, and so were we!