Single Veneer Change

Single veneer change
Category
Cosmetic Dentistry
About This Project

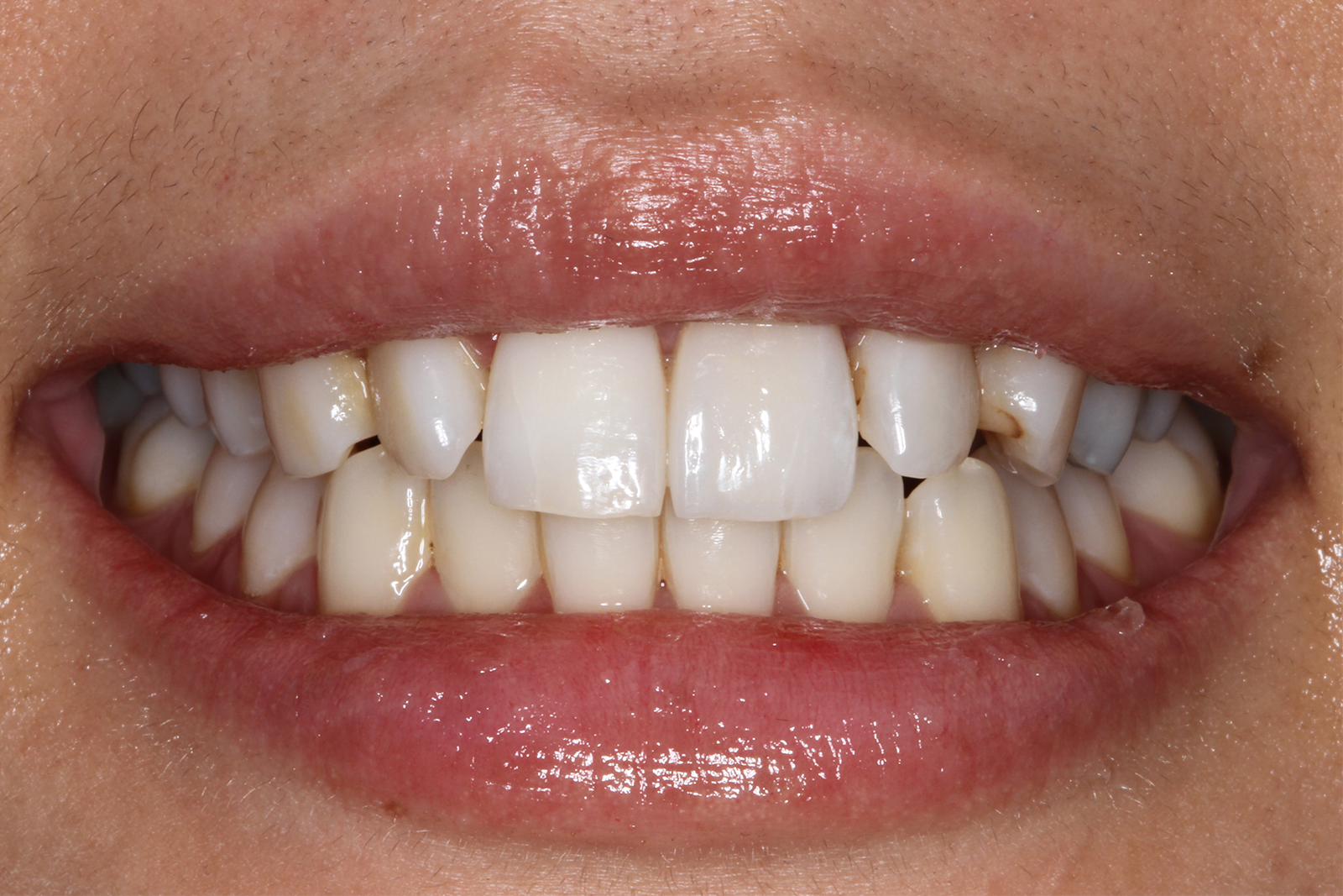
This patient came to us wishing to improve, but keep “her smile”. A single veneer change on her upper central incisor has transformed her smile, sometimes simplicity is key.